| Pedophilia |
| Image source: neverpedia.com [31] |
Pedophilia, or paedophilia, is a subtype of paraphilia that involves abnormal sexual desire for prepubescent children. It has been shown to be the underlying cause of approximately half of all sexual abuse and offenses made on children [1]. While studies of functionality have elucidated the types of personality traits associated with this deviance in sexual preference, it is still uncertain which structural or functional brain alterations contribute to the onset of this syndrome. There are several hypotheses on cranial regions that increase the risk of development, including abnormalities to the temporal and frontal lobe, specifically at the orbitofrontal cortex and the dorsal medial and lateral prefrontal cortex [2]. There are also suggestions on the connection of pedophilia to the hypothalamus, hippocampus, and amygdala of the limbic system [3]. Even so, it may be that this disorder is not a result of a single aberration but due to the summation of multiple cranial anomalies [2]. These disruptions, whether caused by traumatic brain injuries, tumours or other related pathologies have been revealed to cause executive dysfunction [4] and changes in personality related to planning, impulsivity and stimuli evaluation [5]. Although recent research has shown many different hypotheses for the cause and development of pedophilia, this article will primarily focus on the Frontal-Dysexecutive and Temporal-Limbic Approach.
|
Table of Contents
|
Definition
Diagnostic criteria
It is first important to note that not all cases of child molestation are considered pedophilia [1] [6]. Pedophilia is a form of paraphilia associated with prepubescent children and as aforementioned, it occurs in only half of all child sexual abuse [1]. The DSM-IV-TR (American Psychiatric Association, 2000) contains specific criteria with which this disorder is strictly diagnosed.
- The patient must have had thoughts and instigated behaviour involving sexual fantasies and urges, lasting for at least six months,
- for prepubescent children of ages 13 and younger, where, an age difference between the offender and victim exists. The perpetrator can be at a minimum age of 16 years and the victim at a minimum age of 5 years.
- As a consequence of these abnormal urges, the individual has experienced interruptions and disturbances with daily life [7].
Furthermore, each case of pedophilia is individually analyzed based on gender of the victim, as well as, if the act is completed in a familial or non-familial situation [7][8]
Although these are the stated requirements for pedophilia in the current DSM, there are many questions on the reliability and validity of these criteria in diagnoses [9]. This is because the development of pedophilia is thought to also occur based on several factors: childhood experiences, individual personality, addiction, irregular hormonal levels, as well as, genetics [4]. There is also research that shows that structural abnormalities due to tumours, vasculature [10] or childhood traumatic injuries can increase the risk of developing pedophilia [1].
| Sexual Attraction: Pedophilia (documentary) |
| Video source: Youtube (http://www.youtube.com/watch?v=AnBVJnsorzo) |
Associated personality traits
There are many common personality traits found among pedophilic patients. They are generally found to be unassertive and sociopathic with low self-esteem [11]. They have distortions in their cognition and generally a lower IQ [12]. Moreover, in a qualitative study done by Eastbold and colleagues (2011), comparing pedophilic and non-pedophilic sexual offenders with control non-criminal individuals, it was found that both types of sex offenders have difficulty with inhibition. However, it is notable that while both types of child molesters obtained a longer response time in decision making tasks, pedophilic sex offenders have great accuracy while non-pedophilic offenders are more erroneous. This finding may reinforce a possible theory that pedophilia is not a problem with disinhibition, but actually due to slower response to inhibit urges [4]. Furthermore, it is common to see the comorbidity of pedophilia with disorders involving deficits in inhibition, including, sexual addiction, and compulsive and impulsive behaviour [12], similar to that seen in obsessive compulsive disorder [13].
Also, while some pedophilic patients are aware of the inappropriate nature of their thoughts on children and are unable to control these urges, many case studies show that some individuals have problems with morality and reasoning; these individuals believe that what they are doing is not wrong [14].
Components involved in sexual arousal
There are four neurobiological components that are thought to be associated with sexual arousal [5]:
- Cognitive – this portion of the model involves the orbitofrontal and superior parietal cortex, which are functionally responsible for the evaluation and categorization of sexual stimuli [5][15].
- Emotional – the secondary somatosensory cortex, insular cortex and dorsal medial prefrontal cortex (DMPFC) are responsible for this component and evaluates the response to a stimuli based on the degree of pleasantness [5][16].
- Motivation – this area is controlled by the caudal left anterior cingulate gyrus [5][15].
- Autonomic – the final component is regulated by the hypothalamus, insula and the rostral anterior cingulate gyrus and these have an effect on cardiovascular and respiratory levels based on neuronal activity [5].
Abnormalities with any of these four components cause irregularities with an individual's sexual response. It is through one or more of these changes that causes the observed behaviour of pedophilia [5]
Theories on associated brain regions
There are two main theories, the Frontal-Dysexecutive Theory and the Temporal-Limbic Theory, which associate pedophilia with abnormalities to certain structural areas of the cortex [16]. These theories try to explain that structural anomalies may result in functional or cognitive deficits, such as, impaired behaviour inhibition. In addition, as shown that these theories may co-occur in a patient, who may, therefore, in general demonstrate deficits in impulse inhibition due to frontal lobe damage, and hypersexuality from temporal-limbic system problems [18][19]. A PET scan study done by Cohen and colleagues (2002) showed male pedophilia patients had decreased glucose metabolism in both the frontal and temporal areas, providing evidence that a "duel theory" may exist [10]. This may be especially true for individuals with frontotemporal dementia [16].
Frontal-Dysexecutive Theory
The Frontal-Dysexecutive Theory associates offences of pedophilia with functional problems of the frontal cortex resulting in cognitive deficits, more so, with the disinhibition of irregular behaviour [20][21]. Problems with judgment and antisocial behaviour have been observed [5]. Furthermore, there have been cases where individuals with these disruptions have developed constructional apraxia, in the form of agraphia [5]. Structurally, these problems of functionality have been attributed to reductions in grey matter volume [22], displacement of various cortical regions due to tumours [9], traumatic brain injuries [1] or metabolic and/or vascular problems leading to insufficient metabolism or blood flow, respectively [10][19].
| Figure 2: Tumour in frontal lobe |
![]() |
| Displacement of the orbitofrontal cortex and dorsal lateral prefronal cortex caused by frontal lobe tumour. Image source: Burns & Swerdlow, 2003 [9] |
Orbitofrontal cortex
The orbitofrontal cortex is located at the anterior region of the brain that has projections to the temporal lobe and entorhinal cortex. Therefore, its functions are associated with learning, emotion, and reward and punishment-related behaviour [23]. It is an area, if at which an abnormality exists is frequently associated with pedophilia [5]. Inflammation and/or compression of this region by for example, a tumour like displayed in the above images [5], can result in numerous cognitive deficits [16]. Deficits that are commonly observed are a reduction in judgment abilities, an inability to inhibit pre-existing impulses and sexual urges [5][19], and a lack of conscience and antisocial behaviour as seen in sociopathy [5].
| Figure 3: Example of test stimulus |
![]() |
| Example of an erotic prepubescent child image that is used for tests of sexual arousal. Image source: Blanchard, R. et al. (2007) [32] |
Dorsal Prefrontal cortex
A study done by Walter and colleagues (2007), with a sample of male pedophilic patients and neurotypical males, exposed participants to randomized images of adults or children that were either erotic or non-erotic. Upon stimuli presentation, it was found that pedophilic patients have an increase in activation of the dorsomedial prefrontal cortex upon viewing erotic stimuli of children[15]. In contrast, a reduction in gray matter volume of the dorsolateral prefrontal cortex [2] results in decreased activation to the presentation of erogenous images of adults [5][15][24]. A similar degree of reduction was also seen when viewing non-erotic images [15][24]. Interestingly, the amount of reduction in activity at this region was correlated with higher scores of sexual abuse as children, as measured by the MSI (Multiphasic Sex inventory) scale [15].
Temporal-Limbic Theory
The Temporal-Limbic System Theory is the approach that structural irregularities occurring in this area will cause problems with hypersexuality, hyperarousal, as well as, abnormalities with emotion and affect [10][16]. This theory is based off of Kluver-Bucy syndrome where lesions of the temporal lobe at the amygdala cause changes in sexual behaviour. It has also been shown that lesions in the right temporal lobe cause a larger degree of hypersexuality than left region abnormalities [16]. Many pedophilia patients have also presented with a decreased ability to metabolize glucose in the temporal lobe [10].
In addition, cognitive deficits, similar to those observed in pedophilia, have been seen in individuals with frontotemporal dementia and bilateral hippocampal sclerosis, diseases involving the deterioration or neuronal cells in the frontotemporal lobe and hippocampus, respectively [16].
Hypothalamus
Since the hypothalamus is made up of many different nuclei, depending on where the abnormality or lesion is, there are various possible changes in sexual behaviour, with some individuals experiencing hypersexuality and some with hyposexuality [16]. In many cases, male pedophilia patients that are presented with erotic and nonerotic pictures have reduced activation of the hypothalamus when viewing adult erotic stimuli. This reduction is thought to cause a deficit in the autonomic response, previously mentioned as a component involved in sexual arousal. As a consequence of this decrease in neural recruitment, there is an impairment of the arousal response of respiration and heart rate [15].
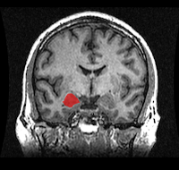
| Figure 4: Amygdala |
![]() |
| Pronounced decrease in gray matter is commonly seen bilaterally at the amygdala [33] |
Amygdala & hippocampus
The amygdala and hippocampus are functionally important cranial regions involved in emotion, memory and attention [25]. Therefore, abnormalities to these areas result in functional deficits in emotional responses [26]. Many individuals with pedophilia show physical deficits or lesions of the hippocampus [16] and a pronounced decrease in gray matter volume at the amygdala, especially at the right amygdala [19][22][27]. These reductions in matter result in an increased activation of the amygdala-hippocampal region during the presentation of images depicting prepubescent children [2][26]. However, this hyper-activation does not occur for images of adults [2][3]. Moreover, changes to the amygdala have shown cases of causing deficits in the disinhibition of sexual arousal and urges [19].
Other Theories
Since pedophilia is not a disorder defined by one specific behaviour, but a result of the expression of numerous different behaviours, many brain areas appear to be involved. Although this article focuses mainly on the frontal-temporal-limbic lobe approaches on the development of pedophilia, several studies have attributed other cranial regions in being linked to pedophilic personality traits. Pedophilia has numerously been associated to abnormalities with the insular cortex [2][5] and the parietal lobe, specifically at the angular gyrus [2]. In addition, some pedophilic patients appear to have decreased gray matter volume at the cerebellum and ventral striatum [19][28], extending to the nucleus accumbens [28].
Controversies in research
As stated above, Schiffer and colleagues (2007) have demonstrated that it is a reduction in gray matter and not white matter in the frontal and temporal lobe that may increase the risks of pedophilia development. However, recent studies by Cantor and colleagues (2008) have shown otherwise. This opposition in research is speculated to have occurred because while Cantor and fellow researchers compared pedophilic individuals with nonsexual offenders, Schiffer’s team contrasted pedophilic patients with individuals without any known criminal histories. Therefore, it has been hypothesized that having constant subject groups between studies may show more similar and reliable results . Another problem with pedophilia research is the decreased statistical power due to small sample sizes are very small since only individuals convicted of sexual crimes are tested [29]. Finally, difficulties may arise due to the comorbidity of pedophilia with other psychological illnesses, including anxiety and personality disorders [13][30].



Your paragraphs and text is well organized Soojin :P Keep going!
Great summary! The last sentence could be made better though, I think =)
Thanks Karen. The last sentence is actually on my list of things to revise :)
Great Introduction. For the picture on top, you might want to include a heading/ caption or just delete where it says heading/caption.
Good luck!
Thanks for the feedback!
I haven't gotten to updating the picture yet but I will soon :)
It's looking great so far! I would suggest linking up your intext citations to your bibliography. As well you should link up some key words to other pages.
Looks nicely organized so far! I see you have the orbitofrontal cortex as one of your subsections. It's also a subsection in my page, but I'll mainly be discussing it in regards to self-control. We could provide links to our pages for one another. Keep up the good work!
This is such an interesting topic! And great organization so far!
Love the topic. A few small things on grammar (very pedantic of me!): " of sex offenders HAVE difficulty with inhibition" . For " Consequently, these individuals believe that what they are doing is not wrong [14]." the transition 'consequently' does not work here, you can leave it out and get the point across much better! Also the section on the components involving sexual arousal could be just a bit longer, I felt like there was not quite enough context for the points that followed. Well organized and logical!
Thanks for the feedback. I really appreciate the grammar help!
The link for figure 2 is broken, other than that, very interesting topic and very precise and organized writing. Maybe adding a few more picture might help the page to look more vivid. Great job!
The way you organized your subtopics is well done. I liked the video; it wasn't too long and gives an interesting view on your topic. This is a page I'd be more than happy to link to =)
So thorough and well organized! Good job! :)